Denti macchiati nei bambini: perché succede?
Notare delle discromie sul sorriso del proprio figlio può generare ansia e mille interrogativi in un genitore. Spesso ci si chiede se si sia sbagliato qualcosa nell’igiene quotidiana o se quei piccoli segni scuri siano il segnale di un problema più profondo. I denti dei più piccoli, per loro natura molto chiari e brillanti, riflettono immediatamente qualsiasi alterazione, rendendo ogni macchia molto evidente.
Tuttavia, non sempre si tratta di scarsa pulizia: le cause possono spaziare dall’alimentazione all’uso di farmaci, fino a condizioni genetiche o batteriche specifiche. Capire l’origine di queste macchie è il primo passo per intervenire correttamente e garantire al tuo bambino un futuro di sorrisi sani.
Perché compaiono le macchie sui denti dei bambini?
Le cause dietro le macchie ai denti dei bambini sono molteplici e variano in base al colore e alla consistenza della discromia. Molti genitori restano sorpresi nello scoprire che anche i denti appena nati possono presentare delle alterazioni. Queste macchie possono essere estrinseche, ovvero depositate sulla superficie esterna dello smalto, oppure intrinseche, nate cioè durante la formazione stessa del dente.
Un fattore comune è legato alla composizione della saliva e alla flora batterica del cavo orale. Esistono infatti dei batteri “cromogeni” che, reagendo con il ferro presente nella saliva o negli alimenti, producono dei pigmenti scuri che si fissano sulla superficie dentale. In questi casi, nonostante lo spazzolamento costante, le macchie tendono a rimanere fisse finché non interviene un professionista.
Denti da latte macchiati: quando preoccuparsi?
Vedere i denti da latte macchiati non deve farti andare nel panico, ma richiede sicuramente un’osservazione attenta. I denti decidui hanno uno smalto più sottile e poroso rispetto a quelli permanenti, il che li rende più suscettibili alle pigmentazioni. Se noti delle sfumature che virano verso il paglierino, potresti essere di fronte a un caso di denti gialli nei bambini.
Spesso il giallo è dovuto semplicemente a un accumulo di placca che non viene rimossa correttamente, specialmente vicino al bordo gengivale. Se la placca rimane a lungo, i minerali della saliva la trasformano in tartaro, che ha una colorazione giallastra o marroncina. In altri casi, l’uso di integratori di ferro o di particolari sciroppi multivitaminici può lasciare residui scuri che imitano l’aspetto della carie.
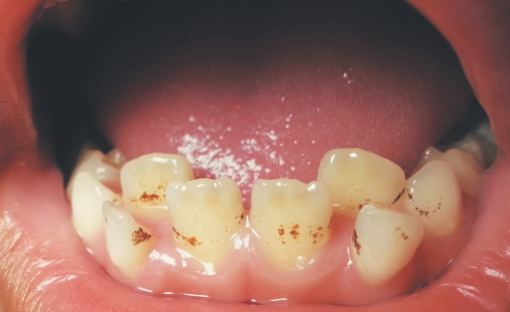
Denti neri nei bambini e il fenomeno delle Black Stain
Sulla superficie dei denti dei bambini può destare preoccupazione anche la comparsa di piccoli punti o linee nere lungo il bordo delle gengive. Spesso si pensa subito a processi cariosi devastanti, ma frequentemente si tratta di “Black Stain”. La presenza di macchie nere, causata da questi depositi batterici non è sinonimo di scarsa igiene; paradossalmente, i bambini colpiti da Black Stain mostrano spesso una minore incidenza di carie, poiché questi batteri competono con quelli cariogeni.
Tuttavia, il nero può anche indicare un trauma. Se il tuo bambino ha subito una caduta o un colpo, il dente può “morire” internamente, scurendosi gradualmente come accade con un livido sotto l’unghia. In questo scenario, il controllo del dentista è fondamentale per monitorare la salute della radice e del dente permanente che sta crescendo sotto.
La carie precoce: dai segni bianchi ai “denti marci”
Purtroppo, non tutte le macchie sono innocue. Esiste una condizione chiamata “carie da biberon” o ECC (Early Childhood Caries) che può progredire molto rapidamente. Ma come inizia questo processo?
- White Spots: la carie inizia spesso con macchioline di un bianco gessoso, segno di demineralizzazione dello smalto.
- Macchie marroni: se il processo continua, lo smalto cede e compaiono i primi fori di colore marrone o nero.
- Distruzione della corona: nei casi più gravi, il dente appare sgretolato e scuro.
La prevenzione in questo caso passa per la riduzione drastica di zuccheri prima di andare a dormire e l’introduzione dello spazzolino sin dalla comparsa del primo dentino.
Come intervenire e prevenire le discromie
La gestione delle macchie dipende totalmente dalla loro natura. Se si tratta di pigmenti batterici o residui alimentari, una normale pulizia domiciliare potrebbe non bastare. Ecco come procedere solitamente:
- Igiene professionale: il pedodontista può rimuovere le macchie estrinseche con strumenti specifici e paste lucidanti in modo totalmente indolore.
- Educazione al lavaggio: migliorare la tecnica di spazzolamento a casa per evitare che la placca si mineralizzi.
- Sigillature: per prevenire che i solchi dei denti nuovi si macchino o si carino facilmente.
Ricorda che la salute dei denti da latte è lo specchio della salute dei futuri denti permanenti. Perdere un dente da latte troppo presto a causa della carie può compromettere lo spazio e l’allineamento del sorriso futuro.
Proteggi il sorriso del tuo bambino con la Clinica Dentale Rocci
Non lasciare che un piccolo dubbio diventi un problema per la salute orale di tuo figlio. Che si tratti di semplici pigmentazioni estetiche o di segnali di carie, una diagnosi precoce è l’unica vera soluzione.
Presso la Clinica Dentale Rocci, disponiamo di un team specializzato in pedodonzia capace di accogliere i più piccoli in un ambiente sereno e giocoso, trasformando la seduta dal dentista in un’esperienza positiva.
Prenota oggi stesso una visita pedodontica e regala a tuo figlio la sicurezza di un sorriso sano e brillante!
